8 december 2025

Tijdschrift | Nieuwste editie: Orale radiologie en digitale tandheelkunde

De nieuwste editie van het Quality Practice tijdschrift met als thema orale radiologie en digitale tandheelkunde is uit!

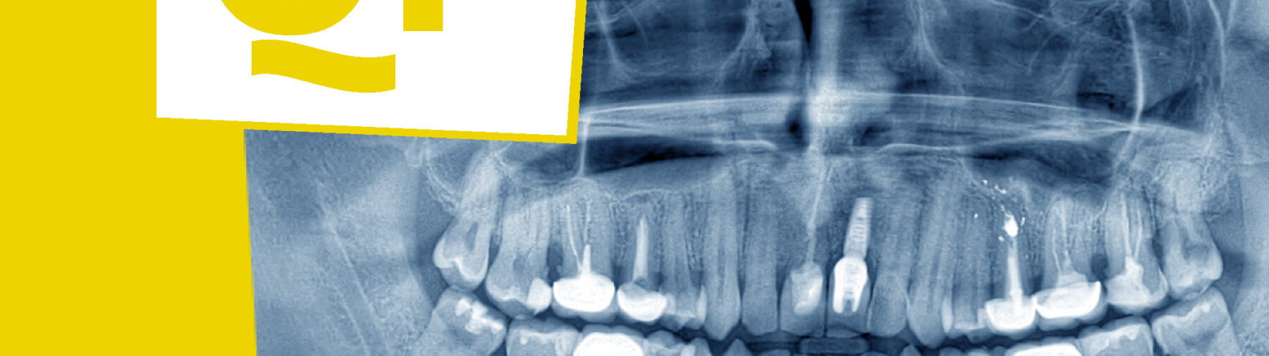
De snelle opkomst van de digitale tandheelkunde heeft de afgelopen jaren een stille, maar ingrijpende revolutie in de organisatie van de mondzorg ontketend. Vooral binnen de orale radiologie openen digitale beeldvorming en innovatieve diagnostische tools de deur naar meer precisie, uniformiteit en beter toegankelijke informatie. Dit sluit aan bij de missie om betere mondzorg mogelijk te maken door grensverleggende diagnostiek en digitale technologie; voor echte, gepersonaliseerde zorg. Maar waar staan we nu precies? Wat kan er al? En welke stappen moeten we nog zetten?

In deze uitgave maakt u kennis met de staat van de digitale tandheelkunde anno 2025. We onderzoeken de rol van kunstmatige intelligentie in diagnostiek en behandelplanning, verkennen digital twins en VR-simulatie voor onderwijs en evalueren digitale workflows met CAD/CAM-systemen en 3D-printing. Uiteraard stellen we de vraag: dragen deze innovaties bij aan betere behandeluitkomsten en duurzamere processen?

Eén van de artikelen zoomt in op specifieke AI-toepassingen binnen de orale radiologie, zoals cariësdetectie en het segmenteren van de canalis mandibularis. De winst in snelheid, consistentie en betrouwbaarheid lijkt indrukwekkend. Tegelijkertijd blijft één ding duidelijk: kritisch denken, ethiek en menselijk toezicht blijven onmisbaar. AI ondersteunt, maar de tandarts of mondhygiënist blijft de regisseur van de zorg.

Daarnaast leest u over een veelbelovende nieuwe vorm van diagnostiek: dental-decidated Magnetic Resonance Imaging (ddMRI). Een techniek die mogelijk een belangrijke rol gaat spelen bij het vroegtijdig opsporen van periapicale ontstekingen.

Bovendien neemt een bijzonder stuk casuïstiek u mee in de wereld van de CBCT-diagnostiek. Casusgestuurde analyses laten zien hoe driedimensionale beeldvorming kan leiden tot veiligere, verantwoorde diagnostiek en betere behandelingen.

Dit alles én meer leest u terug in het nieuwe QP-tijdschrift dat deze week bij onze leden en abonnees op de mat valt.

Heeft u nog geen abonnement?

Wilt u exclusieve toegang tot relevante wetenschappelijke artikelen binnen de mondzorg? Vanaf 180 euro ontvangt u jaarlijks vier thematische tijdschriften. Daarnaast krijgt u toegang tot de bijbehorende digitale kennistoetsen waarmee u nascholingspunten behaalt. Lees hier meer over het QP-abonnement.

icoon usp

Verbonden aan ACTA

icoon usp

Unieke leergangen in Endodontologie en Implantologie

icoon usp

Korte lijnen met professionals uit de tandheelkunde

© Copyright Acta DE 2026